胸腺神经内分泌肿瘤(Thymic neuroendocrine tumors, ThCs)是一类极为罕见且高度异质性的肿瘤,临床诊断和预后评估长期缺乏高质量影像学证据。近日,复旦大学附属肿瘤医院徐俊彦、宋少莉、陈洁团队在《Journal of Nuclear Medicine and Molecular Imaging》发表研究,系统评估了 68Ga-DOTANOC 与 18F-FDG PET/CT 在胸腺类癌中的诊断及预后价值,弥补了该领域的空白,提供了目前样本量最大的影像学证据。
Thymic neuroendocrine tumors (ThCs) are rare and heterogeneous malignancies with limited imaging-based evidence to guide clinical decision-making. A research team from Fudan University Shanghai Cancer Center conducted the largest retrospective study to date evaluating the diagnostic and prognostic value of 68Ga-DOTANOC and18F-FDG PET/CT in patients with ThCs.
研究共纳入 88例胸腺类癌患者,其中55例同期完成双示踪PET/CT。结果显示,68Ga-DOTANOC PET/CT阳性率仅为21.6%,与免疫组化生长抑素受体2(SSTR2)的表达阳性率(19.0%)高度一致,提示胸腺类癌整体生长抑素受体表达水平较低。进一步分析发现,与传统SUVmax相比,肿瘤/血池比值(TBR)与免疫组化SSTR2表达的相关性最强(r=0.419,P=0.006)。ROC分析表明,当 TBR≥2.9 时,可较准确预测SSTR2阳性(AUC=0.819),为临床筛选患者是否可能从长效生长抑素或肽受体放射性核素治疗(PRRT)中获益提供了量化依据。
In this cohort of 88 patients, the positivity rate of 68Ga-DOTANOC PET/CT was low (21.6%), highly consistent with the low prevalence of somatostatin receptor 2 (SSTR2) expression on immunohistochemistry (19.0%). Among quantitative PET parameters, the tumor-to-blood ratio (TBR) showed the strongest correlation with SSTR2 expression. A TBR cutoff of 2.9 demonstrated the best diagnostic performance, providing a practical indicator to identify patients who may benefit from long-acting somatostatin analog therapy or peptide receptor radionuclide therapy (PRRT).
在预后方面,研究纳入68例转移性胸腺类癌患者进行生存分析。结果显示,18F-FDG PET状态是无进展生存期(PFS)的唯一独立预测因子(HR=0.247,P=0.026)。FDG阳性患者的PFS显著短于FDG阴性患者,而FDG衍生参数(如SUVmax、MTV)及Ki-67指数均未表现出稳定的预测价值,提示功能影像可能优于传统病理指标进行风险分层。
In contrast, 18F-FDG PET positivity emerged as the only independent predictor of progression-free survival in patients with metastatic ThCs, outperforming Ki-67 index and FDG-derived volumetric parameters. FDG-positive tumors were associated with significantly shorter PFS, highlighting the prognostic value of metabolic imaging.
该研究首次在胸腺类癌中明确提出:TBR是生长抑素受体PET评估SSTR表达的最优半定量指标,而FDG PET阳性提示更差预后。双示踪PET/CT可在诊断分型、治疗决策及预后评估中发挥互补作用,为这一罕见肿瘤的精准管理提供了重要影像学依据。
These findings underscore the complementary roles of dual-tracer PET/CT in ThCs: 68Ga-DOTANOC PET/CT for assessing SSTR expression and therapeutic eligibility, and 18F-FDG PET/CT for risk stratification and prognosis prediction, supporting more precise and individualized management of this rare disease.


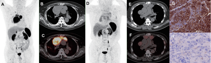
A: MIP, B: CT, C: PET/CT融合图像, 68Ga-DOTANOC PET/CT显示前纵隔类癌放射性异常浓聚, SUVmax=13.8, TBR=8.8, TLR=3.1, TSR=0.3;D: MIP, E: CT, F: PET/CT融合图像,68Ga-DOTANOC PET/CT显示前纵隔类癌轻度摄取, SUVmax=5.1, TBR=2.0, TLR=1.0, TSR=0.2; G, H: 活检病理免疫组化分别显示对应的SSTR2弥漫强阳性表达与不表达。