11
继续教育
/col/col1366/index.html
病例报告
/col/col1380/index.html
首页
>
继续教育
>
病例报告
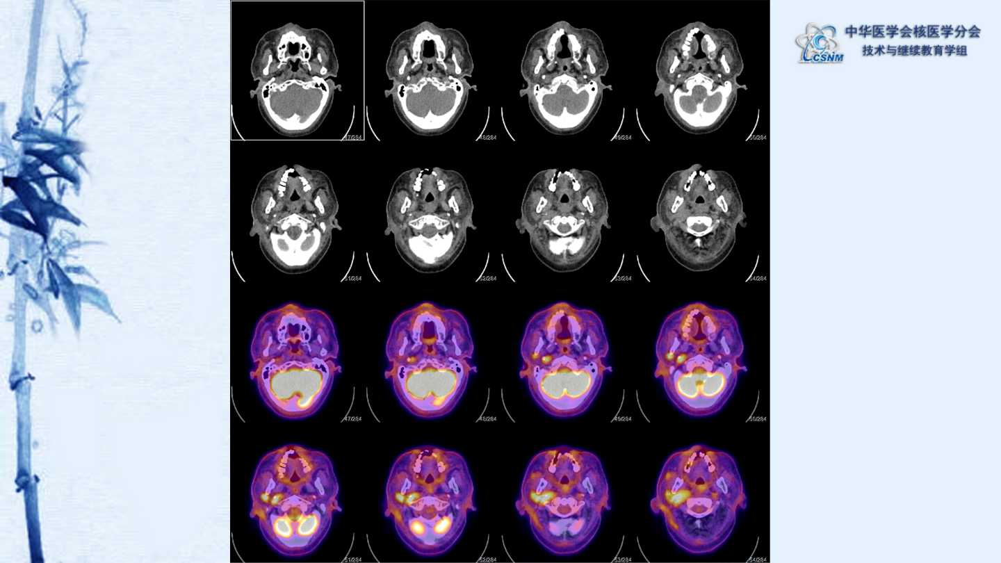
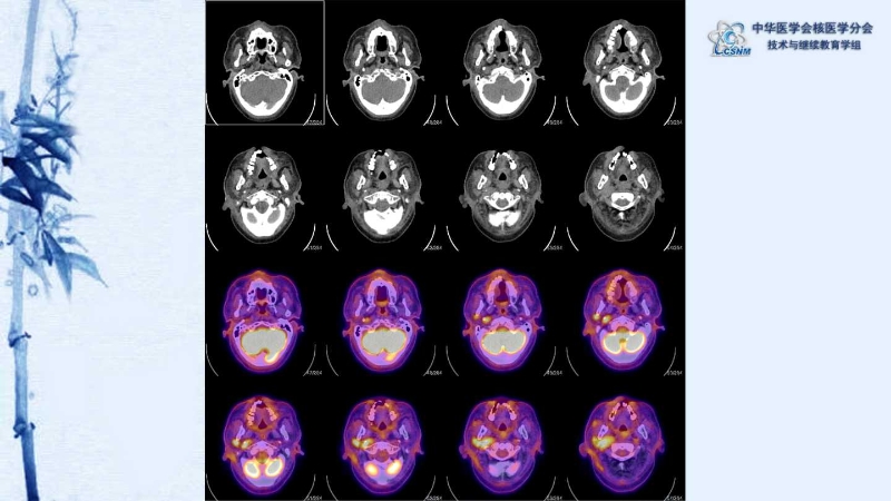
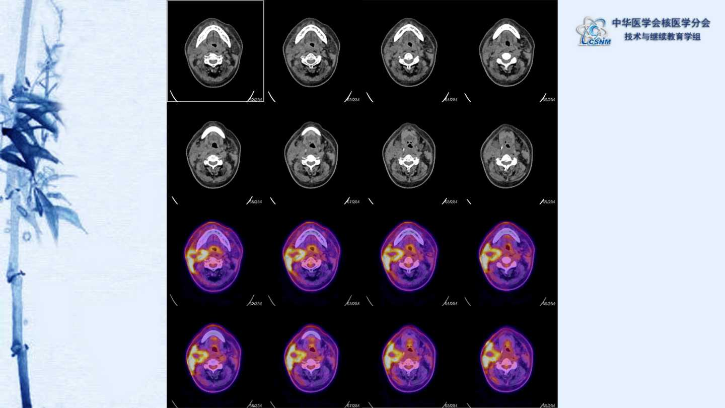
【CSNM继教学组】病例E52-张慧玮:血管肉瘤伴鲍曼不动杆菌PET/CT
2025-10-28
13:55
浏览次数:
友情链接
Friendship link
Produced By 大汉网络 大汉版通发布系统