11
继续教育
/col/col1366/index.html
病例报告
/col/col1380/index.html
首页
>
继续教育
>
病例报告
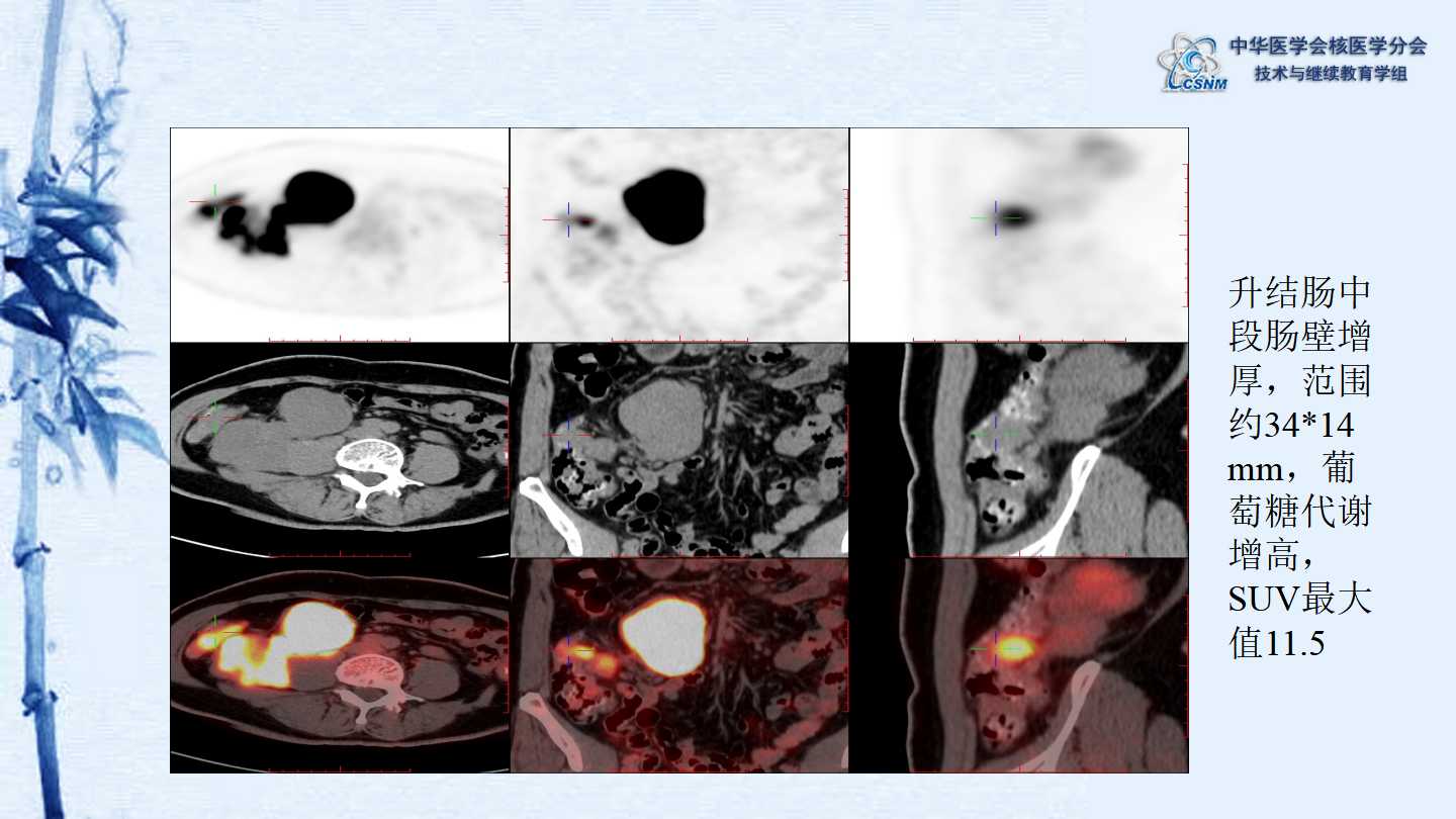
【CSNM继教学组】病例E51-邢岩-结肠炎性肌纤维母细胞瘤18F-FDG PET/CT显像
2025-10-15
09:41
浏览次数:
友情链接
Friendship link
Produced By 大汉网络 大汉版通发布系统