首页
>继续教育>病例报告
(186)双皮质综合征FDG PET/CT显像一例
2020-10-19 21:34 浏览次数:

作者:首都医科大学附属北京天坛医院核医学科 乔真 袁磊磊 艾林


病史及检查目的:

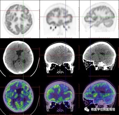
患者男性,19岁,主因发作性愣神、走路前倾易跌倒14年,四肢抽搐9入院。患者14年前出现发作性愣神,持物不稳,伴咂嘴动作,走路前倾,发作频率4/月,紧张时易发作,发作后手脚出汗明显;9年前无诱因下出现意识不清,四肢强直抽搐,伴有两眼上翻,口吐白沫,半年后再次出现上述发作,四肢抽搐持续1分钟可缓解,之后每隔一月发作一次,夜间睡眠时发作较多。临床考虑癫痫可能性大,曾行丙戊酸钠、左乙拉西坦、苯妥英钠、拉莫三嗪等抗癫痫药物及中药治疗,效果均不佳。头颅MRIMRA检查(图1)示:双侧额颞枕顶皮层下脑白质区可见对称性条片状等T1T2异常信号区,在DWIADC上未见弥散受限,病变边界尚清楚。双侧脑室对称增大,中线结构居中,脑沟裂池形态尚可;MRA示双侧后交通动脉开放,余各脑动脉未见明显异常,考虑双皮质综合征可能性大。为进一步明确诊断行FDG PET/CT显像(图2,图3)。


1.患者MRIMRA图像。A:轴位T1WIB:轴位T2WIC:轴位T2 FLAIRDDWIEdADCF:矢状位T1WIG3D T1WI薄层扫描;H:冠状位3D FLAIRIMRA


2


图3

 

检查所见:

FDG PET/CT脑断层图像示:脑中线结构居中,双侧大脑皮层FDG摄取失常态,MRI所示皮层下带状灰质异位区域可见弥漫性条带状异常FDG摄取,而正常脑灰质区FDG摄取相对略减低,但皮层下核团、小脑放射性分布未见明确异常;同机CT示上述灰质异位区呈等密度改变,同时见双侧侧脑室枕角增宽,脑沟、裂及池形态未见异常。

 

检查意见:

双侧大脑皮层下弥漫性FDG代谢增高带伴脑室扩大,可符合皮质下层状灰质异位表现。

 

病例相关知识及解析:

脑灰质异位根据所处的部位和形态可以分为室管膜下型异位(也称为侧脑室周围结节状异位)、皮质下局灶型异位(岛型、结节型、板型)和皮质下层状异位;同时也可以根据病灶的形态和大小分为小灶型、大灶型及带状型。本病例为皮质下层状灰质异位。皮质下层状灰质异位又称双皮质综合征( double cortex syndromeDCS),是胚胎时期神经元发育过程中,移行的神经元中途移行障碍而聚集在白质内的一种先天性异常[1],是药物难治性癫痫的原因之一,也是脑灰质异位中最严重的类型。DCS形成机制复杂,在胚胎时期,特别是神经元移行期间,任何对身体的有害因素,包括病毒感染、代谢紊乱、放射线、药物、毒物作用等,均可以导致神经元的发育和移行异常。有研究报道,家族性DCS患者的DCX基因突变检出率为100%,散发患者检出率为38%[2]DCS女性发病较多见,可能与DCX基因突变导致的X连锁异常相关;女性患者常表现为双皮质综合征,而在男性常为巨脑回或无脑回畸形。

DCS临床表现多为癫痫发作和不同程度的智力以及行为障碍,并且临床症状的严重程度与带状异位灰质的厚度相关。癫痫发作为DCS患者的最常见表现,通常在10岁前起病,患者发作形式多样,但都会表现为部分性发作,且绝大部会继发全面性发作[3],部分患者可表现癫痫发作持续状态,患者智力发育障碍则在癫痫起病后表现更为明显。DCS患者脑电图多呈多灶性或者弥漫性棘慢波,双侧扩散,甚至出现慢波睡眠的电持续状态。发作间期异常放电在大脑对称部位可交替出现,也可同步出现,可有侧别优势;而发作期脑电图表现为全导联广泛起源。研究发现DCS患者痫样放电并非起源于异位的带状灰质,而是起源于表面的正常皮质,然后传递至异位的带状灰质。有关DCS患者的治疗,除了药物治疗外,对于相对局限起源的DCS患者可考虑采取手术治疗,但总体的疗效不佳。另外还可采取姑息性手术如胼胝体切开或迷走神经刺激。

DCS可通过MRI来诊断,影像上表现为异位的灰质带位于侧脑室外侧脑白质内,平行于侧脑室长轴,信号与脑灰质相同或相近,因其与正常的脑皮质层之间有正常的脑白质间隔,故形成双皮层样外观,常伴有双侧脑室的扩大,增强扫描时,异位灰质强化程度与正常灰质相似。

FDG PET/CT在难治性癫痫术前致痫灶定位中发挥着越来越重要的作用,而其在由于DCS这种少见病因引起的难治性癫痫中的研究少见。一项小样本研究显示,发作间期异位灰质FDG摄取程度与异位灰质厚度有关,当异位灰质较厚时其FDG摄取程度可高于正常皮质,而异位灰质较薄时可与正常皮质相当,此种现象在脑血流灌注显像中亦被观察到[4];而另外一项研究显示异位灰质FDG摄取程度略低于正常脑皮质,并考虑可能与异位的神经细胞不成熟、神经元细胞数目较少排列稀疏、排列不齐、胶原纤维增加有关[5]。然而,考虑到DCS患者以癫痫发作为主要临床表现,而检查过程中癫痫发作所导致的脑血流灌注及代谢的动态变化也应在图像解读中加以考虑。

虽然目前FDG PET/CTDCS的诊疗作用尚无定论,但作为解剖影像的有效补充,可以从功能方面显示异位灰质的葡萄糖代谢情况,不仅有助于帮助观察脑灰质异位的部位及累及范围(图45,图6),还可显示全脑皮层及皮层下核团的代谢信息;此外,若将葡萄糖代谢研究与脑电生理研究结合,可能还会对异位灰质的诊疗提供更多有价值的信息。


图4.右侧侧脑室后角及三角区旁灰质异位


图5.左额叶脑裂畸形伴脑室穿通畸形,局部皮层移行障碍


图6.双侧额顶叶多小脑回畸形;双侧额叶脑灰质异位

 

参考文献:

1.李焕发,孟强,董珊,张华.4例双皮质综合征伴癫痫患者电-临床特征分析[J].中风与神经疾病杂志,2020,05:441-444.

2.Gleeson JGMinnerath SRFox JWet alCharacterization of mutations in the gene doublecortin in patients with double cortex syndrome[J].Ann Neurol,1999,45(2):146-153

3.王敏,张旻,朱遂强皮质下带状灰质异位致非惊厥持续状态1例报告[J].神经损伤与功能重建,2016,11(5):464-466

4.Ito K, Nakata Y, Matsuda H, et al. Evaluation of FDG-PET and ECD-SPECT in patients with subcortical band heterotopia[J]. Brain Dev, 2014, 36(7):578-584.

5.Tripathi M, Tripathi M, Kumar G, et al'Double cortex' sign on FDG-PET/CT in diffuse band heterotopia[J]. Indian J Nucl Med. 2013 Oct;28(4):249-50.


友情链接 Friendship link
Produced By 大汉网络 大汉版通发布系统