首页
>继续教育>病例报告
(120)如何让心脏肿瘤“水落石出”?
2019-05-15 08:29 浏览次数:

作者:北京大学人民医院核医学科 郝科技 王茜


病史及检查目的:

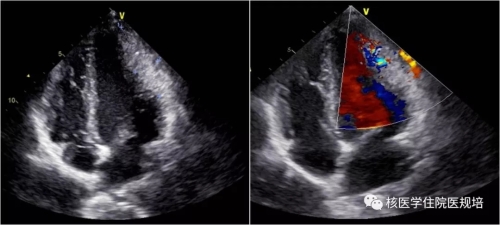
患者男性,20岁,2月前因发热待查就诊,影像学检查发现心脏占位。心脏超声示:左室前侧壁占位,彩色多普勒血流成像可见肿物血供丰富(图1);心脏MR示:左室中段及心尖段前侧壁占位,累及前组乳头肌,前侧壁可见粗大肿瘤血管(图2)。为明确左心室病变性质,行18F-FDG PET/CT显像(图3)。

 

图1


图2

图3


检查所见:

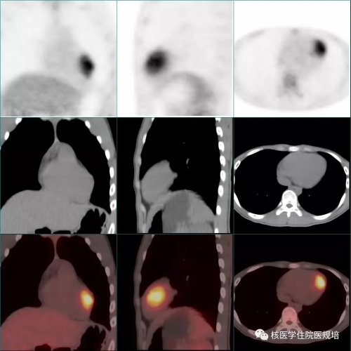
18F-FDG PET/CT显像见:左室前侧壁显影形态失常,MR所示占位相应部位与周围正常心肌组织对比呈不均匀FDG摄取减低区(SUVmax6.4),但肿物边界观察不清,相当于乳头肌处见点状FDG高摄取(图4);双侧腋窝区域分别可见一FDG摄取轻度增高(SUVmax1.8)的小淋巴结,对称性分布,淋巴结均呈长椭圆形,短径均小于1.0cm,内可见脂肪密度的门样结构(图5);另于左侧臀部下方皮下脂肪层内可见一点状FDG摄取增高灶(SUVmax6.1),相应部位CT见一边界较清晰的软组织密度结节影(图6,追问病史该结节已存在3年,局部无红肿热痛,大小始终无著变。全身其余部位未见明显异常结构改变及FDG摄取。


图4


图5


图6


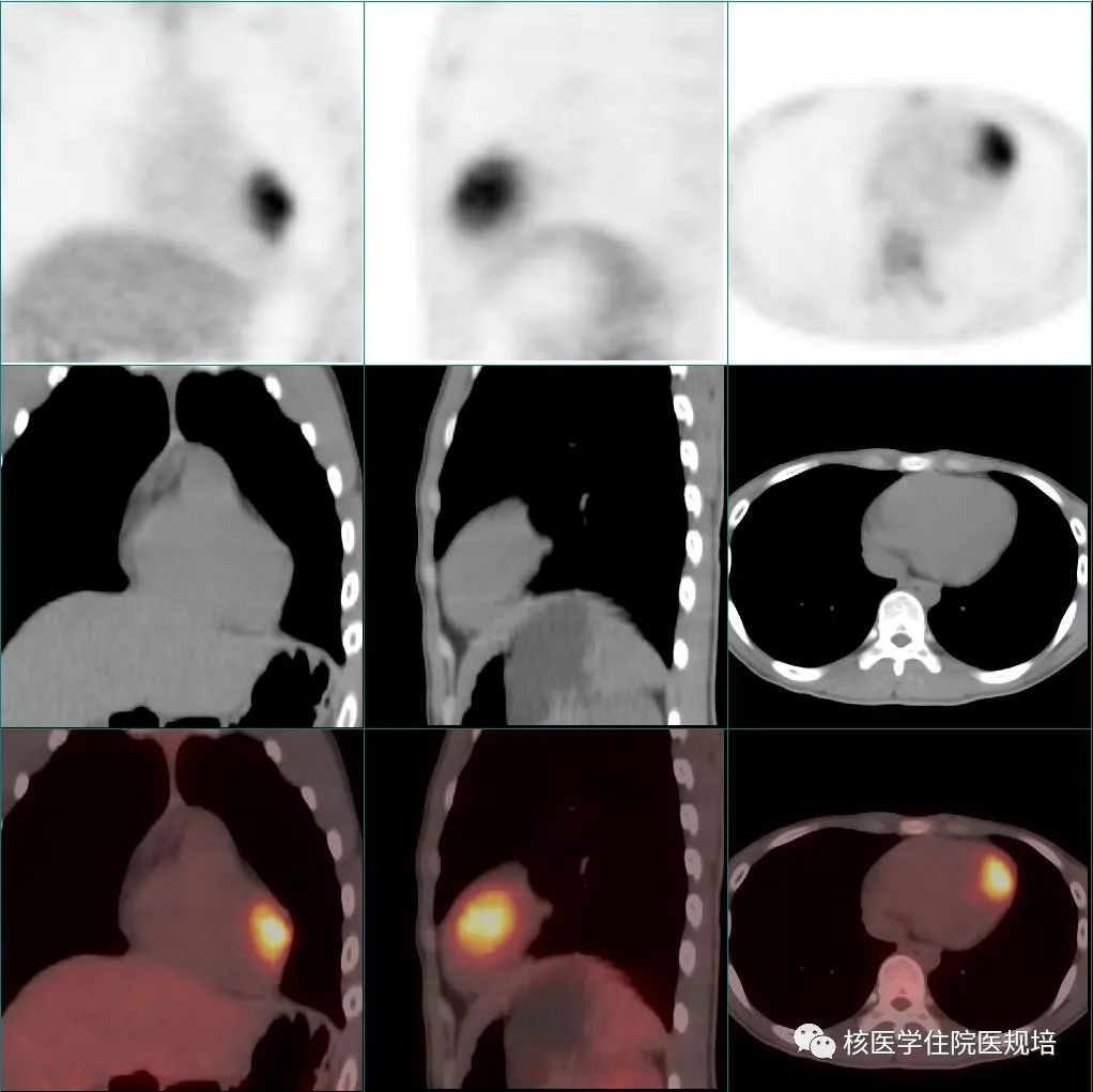
隔日再次行胸部 FDG PET/CT显像。显像前连续两餐进食低碳水化合物、高脂食物(第一餐为2只猪手,第二餐为5个茶叶蛋),第二餐4h后开始显像。与前次显像对照,除肿物显影外,左室其余心肌未见明显FDG摄取;前侧壁至心尖处占位表现为FDG摄取增高灶(SUVmax5.3),边界较清晰,范围约4.0×2.8×4.5cm,并侵犯乳头肌(图7)。


图7

 

检查意见:

1.  左室前侧壁FDG代谢增高灶,考虑恶性病变可能性大,病变累及乳头肌

2.  双侧腋窝多发FDG轻度代谢增高淋巴结考虑为反应性增生

3.  左臀部皮下FDG代谢增高结节,考虑良性病变可能性大,但建议必要时组织病理学检查

 

病例相关知识分析:

心脏肿瘤在人群中较为罕见,发病率为0.001%-0.028%,但多数为转移瘤(其检出率约为原发心脏肿瘤的20-40倍),而发生于心脏的原发肿瘤实为罕见。根据以往报道,在原发心脏肿瘤中,约3/4为良性,多为黏液瘤和脂肪瘤;而在恶性肿瘤中肉瘤最为常见,如血管肉瘤、脂肪肉瘤、横纹肌肉瘤等。尽管18F-FDG PET/CT目前被广泛用于各种肿瘤的早期诊断与鉴别诊断、术前分期、预后评估、疗效评价及检出残余或复发病灶等,但对于发生率低的心脏肿瘤,相关报道较少见。本中心曾回顾性分析了一组心脏肿瘤患者,证实18F-FDG PET/CT显像对心脏占位的良恶性鉴别诊断具有重要的参考价值,病变的SUV值在一定程度上可辅助病变进一步定性[1]。本例患者左心室病变,心脏彩色多普勒及MR均提示肿瘤血供丰富,FDG PET/CT上也表现为高代谢,故考虑为恶性病变可能性大。然而,由于心脏恶性肿瘤预后较差,且手术治疗效果并不理想,目前临床上通常只对于肿瘤生长阻塞左心室流出道而引起血流动力学改变的患者采取手术治疗,故该患者未能获得病理诊断。笔者想通过此病例一方面向大家展示这一临床少见情况,供未来诊断参考,但更重要的是想提示大家对于心肌生理性摄取干扰心脏肿瘤观察时应想到采取必要的辅助技术手段。

正常心肌可利用游离脂肪酸、氨基酸、葡萄糖和酮体等多种物质作为能量底物供能,但在不同生理情况下,心肌细胞选择利用的代谢底物也不尽相同。正常人在禁食状态下,心肌所需能量主要来自脂肪酸的有氧代谢;在进食状态下,血浆中胰岛素水平增加,脂肪酸代谢受抑制,葡萄糖成为心肌的主要能量来源。但心肌利用何种能量底物受多种生理及病理因素的影响。在FDG PET/CT常规显像准备条件下,心肌细胞摄取FDG的表现多样,既可表现为均匀的FDG高摄取,也可表现为不同程度的花斑状FDG摄取,还可以表现为均匀一致的血池水平低摄取。而临床诊疗过程中,当怀疑有心脏或其周围组织有占位性病变时,为了更好地显示病变的FDG摄取情况,需要尽可能抑制正常心肌对FDG的生理性摄取。目前常用的抑制心肌细胞生理性摄取FDG的方法包括以下几种。

1)饮食调控:采用低碳水化合物、高脂饮食进行调控,通过提高血液中游离脂肪酸的含量,促进心肌更多利用脂肪酸以满足生理代谢需求,这样可以降低正常心细细胞对FDG的摄取。显像前先连续1-2餐低碳水化合物高脂饮食,餐后3-6h内行PET/CT显像。国外有报道显示约80%的患者经饮食调控可获得满意的心脏肿瘤影像[2],国内研究也证实了饮食调控较传统禁食方法更能有效的抑制心肌细胞对FDG的生理性摄取[3]。本例患者的显像结果再次展示了此种操作方法的效果。

2)长时间空腹:一般要求患者空腹12小时-18小时以上,长时间空腹心肌细胞主要利用血液中游离脂肪酸供能,从而减少对糖的摄取和利用。据报道,这种方法约62%患者可将心肌生理性摄取抑制到理想水平。但长时间空腹患者有时难以耐受,特别是糖尿病患者易发低血糖,同时此方法也不适用于病情危重的患者。

3)静脉给与肝素: FDG注射前15分钟一次性按50IU/kg弹丸式注射肝素,这是最常用的给药方式,也可按10-15IU/kg的方案分别在FDG注射前45分钟和15分钟分2次给药。其原理是诱导脂肪分解,增加血液中游离脂肪酸水平,该剂量的肝素一般不会显著延长凝血活酶时间。静脉内给予肝素的方法可单独使用,也可结合长时间空腹或饮食调控使用,但该方法的有效性尚待临床的进一步验证。

本例患者在常规显像准备条件下左室占位区域FDG摄取情况受心肌生理性摄取影响观察欠满意,而饮食控制后再次显像,病变显示似有“水落石出”之感觉。通过这个病例想提示大家,在临床工作中遇到心脏及心包占位性病变或系统性疾病累及纵隔区域时(此种情况可见于自身免疫性疾病,如结节病、IgG4相关疾病、系统性淀粉样变、特发性炎性肌病等),应事先想到对患者进行特殊的检查前准备。

 

参考文献:

1.高平,王茜.18F-FDG PET/CT对心脏肿瘤的鉴别诊断价值[J].中国医学影像学杂志,2016,24(10):771-774.

2.Harisankar CN, et al. Utility of highfat and low carbohydrate diet in suppressing myocardial FDG uptake. J Nucl Cardiol. 2011,8(5):926-36.

3.邵丹,高强,王淑侠,等.初步探讨适合心脏、心包病变的18F-FDG PET/CT显像前准备方法[J].医学影像学杂志,2017,27(7):1239-1242.


友情链接 Friendship link
Produced By 大汉网络 大汉版通发布系统