首页
>继续教育>病例报告
(087)先天性无痛无汗症骨关节病变骨显像一例
2018-07-30 15:42 浏览次数:

作者:北京大学人民医院核医学科 周欣 赵赟赟 王茜


病史及检查目的:

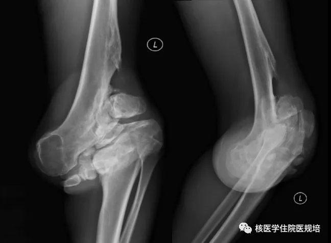
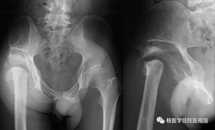
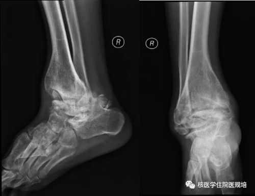
患者男性,30岁, 3个月前无明显诱因突发大小便失禁,同时伴下肢活动障碍,为进一步诊治就诊于我院。既往史:出生后诊断为先天性无痛无汗症,其他无特殊病史。查体:患者轮椅进入病房,神志清楚,对答切题;全身皮肤干燥、见多处瘢痕,皮肤痛觉缺失,指甲发育不良,脊柱生理屈度存在,无明显棘突压痛。双上肢未见明显畸形,肌力、肌张力未见明显异常。左下肢可见膝关节不规则隆起,表面不光滑,质硬,无波动感,关节屈伸正常,局部皮温正常,无皮肤红肿、破溃或静脉怒张,压痛(-);右下肢未见明显异常。双下肢感觉较弱,巴氏征(-)。实验室检查无明显异常发现。腰椎X光片及CT(图1.2)检查发现腰椎退行性变,L3、L4椎体融合,骨小梁结构模糊,L5/S1椎间盘膨出,前纵韧带钙化;多关节部位X光片示右髋关节(图3)髋臼扩大、骨质吸收,股骨头脱位,骨骺未融合,残端如刀削状,关节肿胀,内见多发碎骨片;左膝关节(图4)正常关节结构消失,关节对位差,骨端膨大,周围见多发游离骨块,股骨下段、胫骨平台见骨质破坏,关节周围软组织肿胀;右踝关节(图5)诸骨在位,胫腓骨远端膨大变形,距骨变扁,诸骨骨质密度弥漫减低,骨小梁稀疏,内外踝边缘可见骨质增生;关节间隙狭窄。为进一步了解全身骨病变情况行99mTc-MDP全身骨显像(图6)。

 

图1.

 

图2.

 

图3.

 

图4.

 

图5.

 

图6.

 

检查所见:

静脉注射99mTc-MDP 3~4小时后行全身前、后位平面显像。影像所见:全身骨骼显像清晰,脊柱形态欠规整,放射性分布不均匀,下位颈椎可见片状放射性浓聚灶,腰椎顺列不佳,L3、L4椎体似相互融合,放射性分布增高;右股骨头失常态,脱出髋臼向后上方移位;左膝关节及右踝关节对位不良,关节周围可见团片状不均匀放射性浓聚灶;右膝关节对位可,放射性分布增高;其余诸骨未见明显异常放射性分布。右耻骨下方点状放射性摄取为污染所致。

 

检查意见:

脊柱及多关节血运代谢增强灶,符合先天性无痛无汗症所致多发Charcot关节表现。

 

病例相关知识:

先天性无痛无汗症( congenital insensitivity topain with anhidrosis,CIPA) 是一种罕见的常染色体隐性遗传性疾病,属先天性感觉自主神经障碍,发病机理迄今不明,研究认为其与TRKA(NTRK1)基因突变、肿瘤或某些酶类缺陷等有关。CIPA的发病率报道为1:600000-900000,好发年龄为0~13岁,男女比例约为3∶1。其临床表现包括:①神经系统检查异常:痛觉缺失或迟钝,痛觉缺失多为全身性,80%的患者痛觉完全丧失,而触觉良好;②有自残行为:自己咬伤舌头、嘴唇、手指,皮肤常遗留各种瘢痕;③无汗、发热:全身皮肤干燥、无汗,体温易受环境影响;④骨关节病变:患者因感觉神经功能障碍,缺乏对疼痛的防御反应,各关节活动度超过正常范围,容易发生外伤、骨折,关节囊松弛、关节脱位、崩解等骨关节病变,即Charcot关节;⑤其他表现如智力障碍、角膜混浊及神经麻痹性角膜炎等。CIPA诊断依赖于患者临床表现、碘淀粉发汗定性试验结果阴性及通过分子生物技术检出NTRK1基因突变。目前,CIPA治疗方面尚无特效方法,主要是预防骨折、脱位及其他有害损伤,并防止因外界温度过高继发感染而死亡,尝试纠正NTRK1基因异常是未来CIPA防治研究的热点之一。

有关Charcot的相关知识,小伙伴们可查阅平台发布的第28号病例。而不同于糖尿病、脊髓空洞症、脊柱脊髓损伤等原因所致Charcot关节好发于成年人、单发多见的特点,CIPA所致Charcot关节多见于儿童,常为多骨、多关节受累,此外临床还可表现出上述CIPA相关的症状、体征,密切结合临床病史不难做出诊断。然而,当遇到就诊年龄较晚,或不愿意过多叙述病史的患者,骨显像诊断中也需注意与其他骨骼疾病相鉴别,尤其骨性关节炎、骨转移瘤等多骨受累的疾病:(1)骨性关节炎:骨性关节炎多见于中老年患者,常伴有活动后关节疼痛,全身骨显像表现为多发关节、对称分布的点片状放射性摄取增高灶,以下肢负重关节受累为著,SPECT/CT中相应部位CT可见骨质增生硬化性改变,但一般无关节脱位表现。(2)多发骨转移:多发骨转移瘤多有明确肿瘤病史,常出现转移部位疼痛,全身显像表现为多发、形态不规整的放射性摄取增高灶,以中轴骨受累为著,虽部分肿瘤可累及长骨骨端,但较少跨越关节面,罕见关节受累,结合CT可见成骨、溶骨或混合性骨质破坏及软组织肿物。当你认识Charcot关节的相关知识及骨显像表现后,自然就会有针对性地追加病史询问,正确诊断就不成问题了。

 

参考文献:

1.  刘世祺, 吴琳, 张保贵,等. 先天性无痛无汗症研究进展[J]. 转化医学杂志, 2015, 9(4):157-159.

2.  窦银聪, 葛英辉, 李国艳,等. 11例先天性无痛无汗症的骨关节病影像学分析[J]. 临床放射学杂志, 2013, 32(2):246-250.

3.   Machtei A,Levy J,Friger M,et al. Osteomyelitis of the mandible in a group of 33 pediatricpatients with congenital insensitivity to pain with anhidrosis. Int JPediatrOtorhinolaryngol,2011,75:523

4.  Kilic SS,Ozturk R,Sarisozen B,et al. Humoral immunodeficiency in congenital insensitivity to painwith anhidrosis. Neurogenetics,2009, 10:161

5.  谢瑞刚,葛英辉,贾武林,等.神经营养性关节病X线征象的再探讨(附17例报告).临床放射学杂志,2000,19:584

6.  姬少绯,杨黎,岳瑞杰. 先天性无痛无汗症并陈旧性骨折一例. 中华放射学杂志,2010,44: 1060

7.岳明纲, 王茜, 李河北. 脊髓空洞症合并Charcot关节病1例[J]. 中国医学影像学杂志, 2014, 22(7):499-500.


友情链接 Friendship link
Produced By 大汉网络 大汉版通发布系统