首页
>继续教育>病例报告
核医学病例及解析(003号)
2018-05-03 09:34 浏览次数:

规培朋友看过来——核医学病例及解析(003号) 核医学住院医规培平台

作者 北京大学肿瘤医院 张玥伟 王雪鹃                  审校 王茜

 

病史及检查目的:

患者男性,56岁,久居北京。201112月初自述无意间触及双侧腹股沟区出现淋巴结肿大,无压痛,同时四肢出现皮疹,伴瘙痒。未行治疗。20123月患者又于颈部触及肿大的淋巴结,就诊我院。患者自发病以来有盗汗现象,体重下降约5kg,体温正常。既往无结核、乙肝病史以及疫区生活经历。

临床查体:于颈部、双侧腋下及腹股沟区可触及肿大的淋巴结,压之不痛,质地较硬,活动度尚可。临床疑诊淋巴瘤,行进一步18F-FDG PET/CT(图1-5)检查。

检验结果:WBC6.78×109/L4 -10×109/L);红细胞沉降率10mm/h0-15mm/h);血清乳酸脱氢酶(LDH1286IU/110-240IU/L);血清β2-微球蛋白(BMG1.7mg/L0.0-3.0mg/L);肿瘤标志物未查。

 

1全身MIP图示颈部、腋窝、纵隔、腹部及腹股沟多发对称性分布的放射性浓聚灶。

 

2示双侧颈部多发淋巴结肿大并放射性异常浓聚。


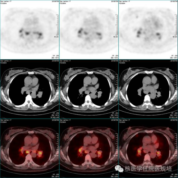
3 示纵隔及双侧腋窝多发淋巴结肿大并放射性异常浓聚


4 示腹膜后多发淋巴结肿大并放射性异常浓聚


5 示盆腔及双侧腹股沟多发淋巴结肿大并放射性异常浓聚

 

检查所见:

禁食6h以上,静脉注射18F-FDG 3.7MBq/kg,避光静卧60min后行全身PETCT断层显像,PET图像经衰减校正及重建后,将PETCT图像行多平面、多幅显示。

双颈部(图2)、双侧锁骨区、纵隔(图3)、双肺门、双侧胸肌间、双侧腋窝(图3)、右前肋膈角、双膈肌下、腹腔内、腹膜后(图4)、盆腔内及双侧腹股沟区(图5)多发淋巴结肿大并放射性异常浓聚,最大SUV 8.1。脾大,达九个肋单位,实质放射性弥漫增浓,最大SUV 2.9

 

检查意见:

全身多组淋巴结肿大并代谢活跃,结合临床表现及实验室检查结果,考虑为淋巴瘤。

        

诊断依据:

本例患者出现盗汗、无原因的体重下降,四肢有皮疹,伴瘙痒,无结核病史及家族史。实验室检查血清乳酸脱氢酶明显升高。PET/CT显示患者全身多组淋巴结受累,肿大伴代谢异常增高,呈对称性分布。脾脏肿大,放射性异常浓聚。全身实质脏器未见明确占位性病变及异常FDG摄取。综合以上这些要点,考虑患者为淋巴瘤。病理和免疫组化结果证实为弥漫大B细胞淋巴瘤(图6)。

 

6 病理:弥漫大B细胞淋巴瘤

免疫组化:LCA+++)、Bcl-2+++)、Bcl-6+)、CD19+++)、CD20+++)、Mum-1+)、Ki-67(>50%

 

病例相关知识:

1.淋巴瘤:

淋巴瘤是原发于淋巴造血系统的一类恶性病变的总称。临床常表现为无痛性淋巴结肿大,可伴有发热、盗汗、体重减轻等症状[1]。淋巴瘤可累及全身多组淋巴结及脾脏等结外器官。FDG活性高的淋巴结常表现为全身多组淋巴结肿大伴放射性浓聚。

淋巴结代谢增高的病变并不都是淋巴瘤。如乳腺癌患者常常出现颈部及腋窝淋巴结的转移(附图1a1b)。在这类病人中,常常可见发现FDG浓聚的原发病灶,且淋巴结的转移呈链式,沿着原发病灶的淋巴引流途径,可出现跳跃式转移,常为单侧病变。结节病患者影像上常表现为肺门 “八字征改变(附图2a2b)。淋巴结的肿大多出现在肺门周围,且左右对称,肿大的淋巴结多相互独立,极少融合成团,对周围组织主要是一种压迫和推挤的作用,而且患者常常出现肺间质的受累和肺内边缘分布的结节,结节边缘光滑。病变的FDG放射性浓聚程度常低于淋巴瘤病灶。淋巴结结核患者也可出现多组淋巴结受累的表现(附图3a3b)。淋巴结肿大多为一侧性,因为病灶新旧交替,可以看到PET图像上不均匀摄取,肺内多有结核病灶,临床上有午后低热、盗汗、体重下降等结核中毒症状,而且结核病灶常常出现钙化灶,而在淋巴瘤累及的淋巴结和器官中极少出现钙化。

 

附图1a

 

附图1b

附图1a1b:右侧乳腺癌伴腋窝及颈部淋巴结转移。

 

附图2a

 

附图2b

附图2a2b:结节病,肺门淋巴结肿大,左右对称,呈字改变。

 

附图3a

 

附图3b

附图3a3b:淋巴结结核,右肺尖可见结核病灶,伴钙化,右颈部及纵隔淋巴结放射性浓聚程度不一。

 

2.显像技术: 18F-FDG PET/CT不仅可以用于诊断和精确分期,对早期疗效评价及预后评估也有一定价值,NCCN指南推荐在淋巴瘤的诊断和治疗过程中使用PET/CT

1)显像剂及显像原理:

最常用的显像剂为18F-FDG18F-FDG通过葡萄糖转运蛋白进入细胞,发生磷酸化。磷酸化的18F-FDG无法去磷酸化因此聚集在细胞中。恶性肿瘤细胞细胞膜上的葡萄糖转运蛋白明显多于正常细胞,因此大量18F-FDG沉积在肿瘤细胞内[2-3]18F通过湮灭辐射产生两个方向相反的511KeV的光子,PET探测器探测通过探测光子重建成恶性肿瘤的代谢功能图像,并使用CT图像衰减修正,融合成像。

2)显像方法:

使用PHILIPSGEMINI TF扫描从颅顶至股骨上段。扫描参数为躯干1min/床位;头单独三维采集,4-5min/床位。重建为三维图像。同机CT120kV100mAs,扫描厚度3mm)衰减校正。

3)显像条件:

患者显像前禁食6-8h,血糖低于10mmol/L。静息坐卧15min后,静脉注入18F-FDG3.7MBq/kg),避光静卧60min

 

总结:

1. 18F-FDG PET/CT图像特点,多组淋巴结甚至多器官受累,分布较对称,考虑淋巴瘤的诊断。FDG高活性的淋巴瘤可以表现为放射性异常浓聚。

2. 淋巴瘤患者常以无痛性淋巴结肿大就诊,查体可以在体表触到淋巴结肿大,压之不痛,多质地较韧。

3. 淋巴瘤患者临床会有一些不明原因的发热、体重减低等非特异症状,实验室检查可有血清乳酸脱氢酶和血清β-微球蛋白的升高。

 

参考文献:

[1].Taylor, Elizabeth J. (2000). Dorland's Illustrated medical dictionary. (29thed.). Philadelphia: Saunders. p. 1038.

[2].Ishiwata K, Tomura M, Ido T, et al. In vivo assessment of6-deoxy-6-[18F]fluoro-D-galactose as a PET tracer for studying galactosemetabolism. International journal of radiation applications and instrumentationPart B, Nuclear medicine and biology. 1989;16(8):775-781.

[3].Ishiwata K, Yamaguchi K, Kameyama M, et al. 2-Deoxy-2-[18F]fluoro-D-galactoseas an in vivo tracer for imaging galactose metabolism in tumors with positronemission tomography. International journal of radiation applications andinstrumentation Part B, Nuclear medicine and biology. 1989;16(3):247-254.

 

 


友情链接 Friendship link
Produced By 大汉网络 大汉版通发布系统