首页
>继续教育>病例报告
(096)静脉平滑肌瘤病
2018-10-18 14:35 浏览次数:

作者:北京大学人民医院核医学科 陈津川 王茜

病史及检查目的:

患者,女性,45岁,主因恶心伴右下腹疼痛一个月就诊。1月前无明显诱因出现恶心及右下腹痛,外院超声检查发现右侧附件区两个囊实性包块,考虑卵巢囊腺癌;同时见右侧髂内静脉、髂总静脉、下腔静脉全段及右心房内长条状实物声像,考虑为癌栓。于当地医院对症治疗后,症状稍缓解,后就诊于我院。

我院实验室检查:血、尿、便常规及生化未见明显异常;肿瘤标志物测定结果示NES:21.67ng/ml(0-16.3 ng/ml),CEA、AFP、CA19-9、CA125、CA15-3、细胞角蛋白19片段、胃泌素释放肽前体均在正常范围。

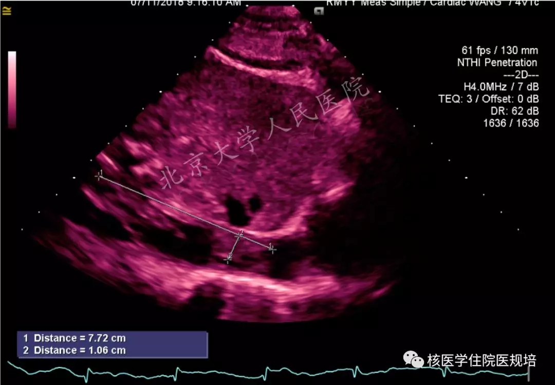
超声心动提示:右房、右室、下腔静脉占位(图1-2),三尖瓣功能性狭窄及轻度反流。

腹盆腔增强CT提示:右侧附件区囊实性占位,右心室、下腔静脉及右侧髂总静脉、右侧卵巢静脉内占位(图3-5)。 

 

1.右房内低回声团块影,附着于三尖瓣右房面,随心动周期介于右心房及右心室之间摆动。


2.下腔静脉内可见附着于管壁不规则回声影

 

3.右心室内占位


4.下腔静脉内软组织密度影

5.右侧附件区囊实性占位,增强扫描实性部分明显强化,部分边缘与子宫分界不清。


为进一步明确诊断患者行18F-FDG PET/CT显像(图6-9)。

 

图6.

 

7.

 

8.

 

9.


检查所见:

右侧腹腔内可见一形态不规整的巨大囊实性肿物影,范围约13.5×7.0×21.7cm,上达右肾下极水平,下达盆底,实性部分可见轻度FDG摄取(SUVmax2.6)(图6)。肿物呈穿梭样生长,与子宫右侧壁及髂外血管分界不清,肿物旁可见多条迂曲增粗的血管影(图7),其中一条于左肾中部水平汇入下腔静脉(图8),下腔静脉增粗,平扫CT见腔内密度不均匀,并可见轻度FDG摄取(SUVmax2.1)(图9)。扫描野内其他部位未见明显异常结构改变或FDG摄取。


检查意见:

盆腔肿物及下腔静脉内占位呈轻度FDG代谢增高表现,考虑静脉平滑肌瘤病可能。


随访结果:

患者行全麻下行心脏病损切除术 +三尖瓣生物瓣膜置换术+肺动脉探查术+全子宫切除术+单侧卵巢切除术+盆腔病损切除术+下腔静脉病损切除术。术后病理示:①右附件区、后腹膜切除标本:右附件近阔韧带区可见平滑肌细胞呈束状及编织状排列(图10),血管较丰富,呈丛状分布于基质中,周围基质水肿明显;平滑肌细胞部分围绕血管呈旋涡样排列,考虑为绒毛叶状分割性子宫平滑肌瘤;②子宫切除标本:肌壁间可见多发平滑肌瘤;③左肺动脉肿物、三尖瓣肿物、下腔静脉肿物+血栓切除标本:均为平滑肌瘤,部分区域细胞排列较密集,伴玻璃样变性及钙化。综合患者临床表现、影像及病理检查结果,考虑静脉平滑肌瘤病诊断明确。


10.

 

病例相关知识:

静脉内平滑肌瘤病(intravenous leiomyomatosis, IVL)于1896年被英国 Birch-Hirschfeld首次报道,主要特征是良性平滑肌细胞构成结节样肿块沿静脉生长,可经子宫静脉、卵巢静脉、髂内静脉延伸至下腔静脉,进入心脏甚至肺血管系统[1]。该病是一种罕见病,目前文献报道IVL仅有300余例,患者全部为女性,90%为绝经前女性,平均发病年龄多为4050岁,约50%患者有生育史,64%患者曾有子宫切除或子宫肌瘤剔除病史,30%患者诊断时同时患有子宫肌瘤[1,2]。 

有关IVL的发病机制尚不清楚,关于其起源存在两种观点。一种认为,由子宫平滑肌瘤侵入脉管内生长形成的;另一种则认为是直接来源于静脉内壁的平滑肌组织。研究发现,IVL发生与雌、孕激素刺激密切相关。另有文献报道,透明质酸在静脉内平滑肌瘤中的表达远远超过子宫平滑肌瘤,因含有大量透明质酸而使IVL具有黏滞性,有助于肿瘤向远处转移。30%80%IVL可侵犯子宫外的静脉,10%30%可累及心脏。目前认为肿瘤在静脉内延伸途径有两条:1)左、右子宫静脉→髂内静脉→髂总静脉→下腔静脉;2)左卵巢静脉→左肾静脉→下腔静脉或右卵巢静脉→下腔静脉。IVL的临床症状根据受累部位而有所不同。常见症状可与子宫肌瘤大致相同,包括阴道不规则出血、下腹隐痛及局部肿块等妇科症状。患者也可因腔静脉、右心房受累出现静脉回流受阻和右心功能不全的症状,如下肢水肿、晕厥、呼吸困难、心悸甚至猝死[1-3]IVL的治疗手段主要为手术切除,术中需完整切除所能发现的脉管内瘤栓。术后应用抗雌激素药物、促性腺激素释放激素类似物、他莫西芬、孕三烯酮等。IVL有术后易复发的特点,复发率为33.3%。复发时间为术后3个月至26年,因此IVL术后需终生随访[2]

超声为IVL诊断的首选检查法,肌瘤内部呈结节状或漩涡状表现,彩色信号在肌瘤内部呈索条状或分枝状分布,在肌瘤表面呈半环状分布[2]CTMRI 的优势在于明确病变的范围、肿瘤血管内特征及侧支形成的情况。IVL增强CT的特征表现为:原发肿瘤表现为子宫或宫旁肿块影,可呈不均匀强化(与肿瘤坏死、玻璃样变程度有关);宫旁受累静脉管腔增粗、扩张、迂曲成团;由于突入血管的病灶表面覆有光滑的血管内皮,大部分病灶游离于静脉或心腔内,很少与下腔静脉、右心房粘连[2-4],盆腔静脉—下腔静脉—右心腔—肺动脉可见连续性中等强化的低密度充盈缺损,呈飘浮状,表现为“血管内血管”征。MRI多方位和多参数成像可见盆腔肿块为非退变肌瘤时,T1WI中呈中等或低信号,T2WI呈低信号,而退变肌瘤会由于病理变化不同出现复杂的信号改变;由于MRI基于流空效应能较好显示大血管,在IVL中可见腔静脉扩张、腔内流空效应消失[3]、不规则蠕虫样索条状低信号肿物部分呈“蛇头状”突入右心房以及增强后病变可强化征象[4]PET/CT的主要作用是通过全身系统性观察,了解病变累及部位及范围,可为该病的诊断及鉴别诊断提供证据。临床报道认为IVL为良性病变,通常只轻度摄取FDG,当出现病变FDG摄取明显增高时,应考虑恶性病变或感染的可能[5-6]

需注意鉴别的疾病包括以下几种:

1)心房黏液瘤:约87.3%-88.5%的黏液瘤发生于左房;大部分黏液瘤从房间隔产生,附着于心腔内,盆腔、髂血管-下腔静脉多无基础病变;MRI T1WI呈高信号特征[3,8]

2)下腔静脉癌栓:多由肝癌、肾癌侵犯下腔静脉,可发现原发病变;增强后癌栓可强化,病变范围较局限,与血管壁粘连;没有子宫肌瘤病史[3,8]

3)下腔静脉亚急性和慢性血栓形成:多伴有下肢深静脉血栓,血栓紧贴血管壁,并伴有管腔节段性不规则增厚;根据血栓形成时间T1WIT2WI可呈高低不等信号,增强扫描无强化[3,8]

4)原发性下腔静脉平滑肌肉瘤:非常少见,发现肿瘤时多数已经转移,常见于肝、肺、脑及腹膜转移,CT增强后肿块不均匀强化,与腔壁密切粘连[8]

IVL的确诊需要病理学证实。肉眼可见子宫壁、宫旁阔韧带区域、子宫静脉、卵巢静脉灰白色条索状、蚯蚓状或分叶状平滑肌肿物,特征性改变是血管腔内蠕虫样的索条状肿瘤侵入,可延伸至盆腔静脉、髂内静脉、肾静脉、下腔静脉、右心房。组织病理学上可见肿瘤由分化成熟、没有异型性的良性平滑肌细胞构成,并可伴囊性变、纤维化或黏液变性[7]


小结:

综上所述,遇到中年女性,有子宫肌瘤或子宫肌瘤手术史的患者,若FDG PET/CT检查中发现盆腔包块、腔静脉或心脏内肿物时,应考虑本病的可能性。了解本病的临床及影像特征,有助于提高诊断准确性。


参考文献:

1、褚兆苹杨艳艳闫萍子宫静脉内平滑肌瘤病四例报告并文献复习[J]. 中华妇产科杂志, 2014(4):300-303.

2、李同民郭东霞黄风雷,子宫静脉内平滑肌瘤病2[J]. 实用妇产科杂志, 2017, 33(2):153-154.

3、吴光耀鄢龙田志雄血管平滑肌瘤病影像学评估[J]. 临床放射学杂志, 2008, 27(5):623-625.

4、蔡学智徐建锋子宫静脉平滑肌瘤病的CTMRI影像分析[J]. 中国医师进修杂志, 2010, 33(30):51-52.

5Jin X, Li F, Lu Z, et al. IV Leiomyomatosis on FDG PET/CT.[J]. Clinical Nuclear Medicine, 2016, 41(7):580.

6Wang H C, Wang Y B, Chen X H, et al. Uterine Intravenous Leiomyomatosis with Intracardiac Extension and Pulmonary Benign Metastases on FDG PET/CT: A Case Report[J]. Korean Journal of Radiology, 2016, 17(2):289-294.

7、王力翔金晓龙静脉内子宫平滑机瘤病一例报告[J]. 上海交通大学学报(医学版), 2000, 20(4):375-377.

8、李青春肖文莲唐德秋,子宫静脉内平滑肌瘤病的临床、CT表现(1例报告及文献复习)[J]. 实用放射学杂志, 2013, 29(11):1876-1877.


友情链接 Friendship link
Produced By 大汉网络 大汉版通发布系统